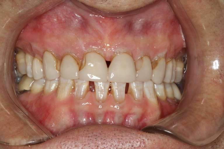
Steps for Getting a Dental Implant
 Consultation and Placement
Consultation and Placement
Your dental implant journey begins with an initial consultation and conversation with Dr. Klavy to understand your smile goals and preferences. We perform implant placement here at our Friendswood dental office under local anesthesia. You can expect a smooth, efficient process thanks to Dr. Klavy’s skill and meticulous planning.
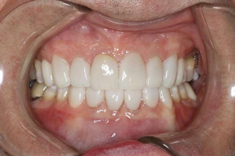
Implant Healing and Restoration
Titanium is a biocompatible material, meaning the body readily accepts it. Over the next several months, the implant post fuses with surrounding tissue, creating a sturdy foundation for the replacement tooth or teeth. This natural healing process is referred to as osseointegration.
The final step is attaching your customized restoration, which may be a single crown, implant bridge, or implant-supported dentures.
 
 
 
 
 
 
