Is Teeth Whitening Safe?
Teeth whitening is a perfectly safe procedure when supervised by a dentist or hygienist. Professional whitening considers your unique needs, ensuring the brightest and most consistent results without tooth sensitivity.
In contrast to store-bought kits, professional treatments also use custom trays that cover your teeth evenly and keep the whitening gel away from sensitive gum tissue.
Teeth Whitening Options in Friendswood, TX
Dr. Klavy offers Zoom! in-office teeth whitening treatments and custom take-home kits. In-office whitening takes about an hour and is perfect if you want immediate results for a big event like a wedding, reunion, or job interview.
Want more control over the whitening process? Our take-home kits with custom trays provide gradual yet effective whitening over several weeks. We can even combine both treatment types for the most brilliant, long-lasting results.
How to Maintain a Sparkling Smile
Once you've invested in teeth whitening, you'll want to extend the results for as long as possible by following these five steps:
- Follow good oral hygiene practices, brushing twice daily and flossing once.
- Schedule routine dental cleanings to keep your teeth sparkling and healthy.
- Avoid foods and drinks that can stain teeth, or consume them in moderation.
- Do not use tobacco products that dim your smile with stubborn brown stains.
- Use your leftover whitening trays and gel for occasional at-home touchups.
 
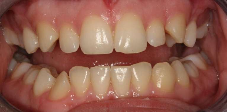
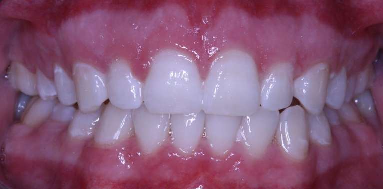
 Over time, your smile’s brightness can fade and stain due to aging, lifestyle choices like the foods you eat, and tobacco use. If you feel self-conscious about sharing a smile, it might be time to consider a professional teeth whitening treatment at our Friendswood, TX, dental office.
Over time, your smile’s brightness can fade and stain due to aging, lifestyle choices like the foods you eat, and tobacco use. If you feel self-conscious about sharing a smile, it might be time to consider a professional teeth whitening treatment at our Friendswood, TX, dental office.  
 
 
 
