Klavy Usheva, DMD
Changing Lives...One Smile at a Time
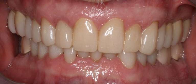
Full Mouth Reconstruction
Discover the Joy of a Healthy Smile

If you face numerous dental issues, don't give up on your smile. Full mouth reconstruction might be the solution you need.

Full Mouth Reconstruction | Dentist

Full Mouth Reconstruction

You deserve to enjoy simple pleasures like biting into a crisp apple, sharing a confident laugh, or enjoying a relaxed conversation with friends. Yet, dental issues can overshadow these moments, impacting your oral health, comfort, and overall well-being.

At Dr. Klavdiya Usheva's dental office in Friendswood, TX, we recognize the impact of issues like worn, missing, or damaged teeth on your life and health. Dr. Klavy offers full mouth reconstruction, a transformative process that restores your smile’s comfort, function, and beauty. 

Full Smile Reconstruction: The Path to Oral Health

Full mouth reconstruction isn't a single treatment but a process that addresses a comprehensive range of issues, including:

  • Severely worn teeth from bruxism
  • Broken or cracked teeth
  • Advanced decay or gum disease
  • Multiple missing teeth 
  • TMJ pain and issues

Compassionate Consultation and Guidance 

It’s exciting to consider the possibilities of life with a fully healthy smile, and we're here to ensure the entire process is stress-free, comfortable, and rewarding. Dr. Klavy begins with a consultation, listening to your concerns and desires, and ensuring she understands your oral health goals. 

A Thorough Dental Exam

Next is a thorough examination and review of your dental history and current oral health to pinpoint your needs. This step typically involves using technology like intraoral cameras, digital x-rays, and cone beam CT scans (CBCT) to understand how we can best help you.

While the process may seem involved, Dr. Klavy spends significant time explaining each step, ensuring you feel fully informed about your options and at ease with your personalized care plan. 

Managing Your Treatment Plan

Full mouth rehabilitation is typically planned in stages and commonly requires multiple appointments. Our team will work with you to schedule appointments that fit your needs. Together, we navigate the financial aspects with clear communication about costs, insurance, and payment options. 

From the initial consultation through each phase of treatment, you will benefit from Dr. Klavy’s skill and experience. her friendly approach and commitment to exceptional care will help you remain optimistic throughout the process.

Services to Restore Smile Function and Aesthetics

The procedures Dr. Klavy may recommend for full mouth rehabilitation include: 

  • Dental implants to replace missing teeth and restore function
  • Crowns and bridges to repair and protect damaged teeth
  • Veneers to provide a uniform, aesthetically pleasing appearance
  • Orthodontics to correct misalignment and improve bite function

Sometimes, we may coordinate with trusted dental specialists, such as periodontists or oral surgeons, to ensure skillful, comprehensive care.

Long-Term Follow-Up and Care

After your restoration is complete, ongoing care is crucial. Regular checkups and maintenance with Dr. Klavy will help preserve treatment results and protect you against future problems.

  • Dr. Klavdiya Usheva DMD, FAGD

    Dr. Klavy Usheva grew up in Friendswood. She met Dr. Molloy as a patient at eleven years old and immediately decided she wanted to grow up to be a great dentist just like him. In high school, she shadowed him in the office during the summers and quizzed him on dental terminology so she could prepare for the Health Occupations Students of America (HOSA) dental terminology competition. 

    She graduated from the University of Texas at Austin with a BS in Cell and Molecular Biology in three years, and then ...

    View More

You Deserve a Comfortable, Confident Smile, and We Can Help

Your smile is a powerful gift. If you feel like yours is beyond repair, Dr. Klavy and our caring team are here to show you it's not. If you're ready to improve your oral health and quality of life, call Dr. Klavy in Friendswood, TX, at (281) 482-7252 to begin your journey to dental wellness.

Frequently Asked Questions

If you're wondering whether full mouth reconstruction (FMR) is necessary, consider the overall condition of your teeth and gums. FMR is a comprehensive treatment plan that addresses serious concerns affecting your entire mouth’s health and functionality. If you feel overwhelmed by dental challenges, it might be time to explore this treatment option.

Recognizing the Need for Full Mouth Reconstruction

Here are some indications you might be a candidate for FMR:

Widespread Decay or Erosion — Multiple teeth with large fillings, decay, or weakened structure may require complete restoration.
Advanced Periodontal Disease — Severe gum disease leading to tooth loss and the need for extensive gum treatment and tooth replacement.
Trauma or Injury — Dental injuries requiring reconstruction to restore oral function and aesthetics.
Chronic Pain or TMJ Issues — Ongoing jaw pain, headaches, and bite problems.
Severe Dental Wear — Teeth severely worn from bruxism (teeth grinding) or other conditions, requiring a comprehensive treatment plan.

Schedule a Consultation with Dr. Klavy

If you're ready to give up on your smile, hope is a phone call away. Call Dr. Klavy's Friendswood dental office at (281) 482-7252 to schedule a consultation, and we can help you achieve your smile goals.

If you have difficulty using our website, please email us or call us at (281) 482-7252
View the ADA Accessibility Statement
Privacy Policy