Home
About
Our Team
Dr. Klavdiya Usheva
Technology
Practice Photos
Services
View All
Dental Implants
Crowns and Bridges
Family Dentistry
Invisalign® Clear Braces
Teeth Whitening
Dentures and Partials
Full Mouth Reconstruction
Veneers
TMJ and Bruxism Treatment
Tooth Extraction
Smile Gallery
Patient Info
View Patient Info
Testimonials
Forms
Financial
FAQs
Contact
Klavy Usheva, DMD
Changing Lives...One Smile at a Time
Request an Appointment
Leave a Google Review
(used to be Tim Molloy, DDS)
(281) 482-7252
Tim Molloy DDS MAGD
Klavy Usheva, DMD
>
Smile Gallery
>
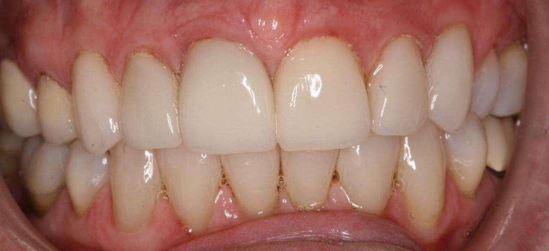
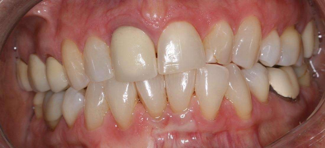
Crown & Veneers Combination
Crown & Veneers Combination
Return to Smile Gallery
Previous
Next
Related Services:
Crowns and Bridges
Veneers
Click image to see a larger picture
Before
After
Have Questions? Get in Touch
Contact Us
If you have difficulty using our website, please
email us
or call us at
(281) 482-7252
View the
ADA Accessibility Statement
Turn on ADA Views
OK!
×
×
Contact Us Today
Give Us A Call
Klavy Usheva, DMD -
(281) 482-7252
Send Us an Email
Request an Appointment
Contact
Ready to Schedule an Appointment?
Request an Appointment
Have Questions? Contact Us:
Required Field
Your Name:
Phone:
Email:
Are you a new patient?:
Are you a?
New Patient
Current Patient
How would you like us to contact you?
Please choose
Email
Call
How did you hear about us?
Please choose
I'm an existing patient
Google/Bing
Mailer
Word of mouth
Social media
Other
Who Referred You?:
Appointment Type?
Please choose
New Patient Cleaning/Exam
New Patient Consultation
Existing Patient Continuing Care
Dental Representative Meeting Request
Other
Appointment Preferences
Monday
Tuesday
Wednesday
Thursday
Your Message:
Custom Contact Field
This site is protected by reCAPTCHA and the Google
Privacy Policy
and
Terms of Service
apply.
Sending...
×
This Patient's Experience
Loading Testimonial...
Loading Case...